Smile Gallery
If you want to improve your smile, call our dental office in Sacramento, California, to schedule a consultation with Dr. Tex Mabalon Cosmetic & Implant Dentistry. We also provide dental treatments for patients in Thornwood Terrace, Arden Arcade, and nearby areas. At Dr. Tex Mabalon Cosmetic & Implant Dentistry, you can check out examples of our smile transformations below and learn how we can help you achieve similar results. Our dental team, led by Dr. Tex Mabalon, is friendly and welcoming, and we’ll assist you in creating your own remarkable before-and-after outcome. To book your consultation, call (916) 972-0788 today.

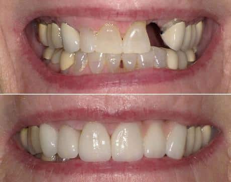
This patient lost a front tooth a few years ago. She was unhappy with her smile. We placed porcelain veneers on her upper 6 teeth and added pink to fix the exposed roots and create a smile she envisioned.

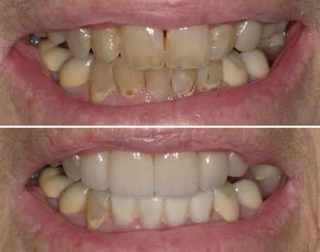
This patient came in to revitalize her smile. After routine cleaning, we added cosmetic veneers to her upper and lower teeth and gave our patient a whole new reason to smile.